Newsletter الرسالة الإخبارية Events الأحداث البودكاست فيديو Africanews
Loader
ابحثوا عنا
اعلان

دراسة: تسلل الأورام إلى الأوعية الدموية قد يكون السبب الحقيقي وراء وفاة مرضى السرطان

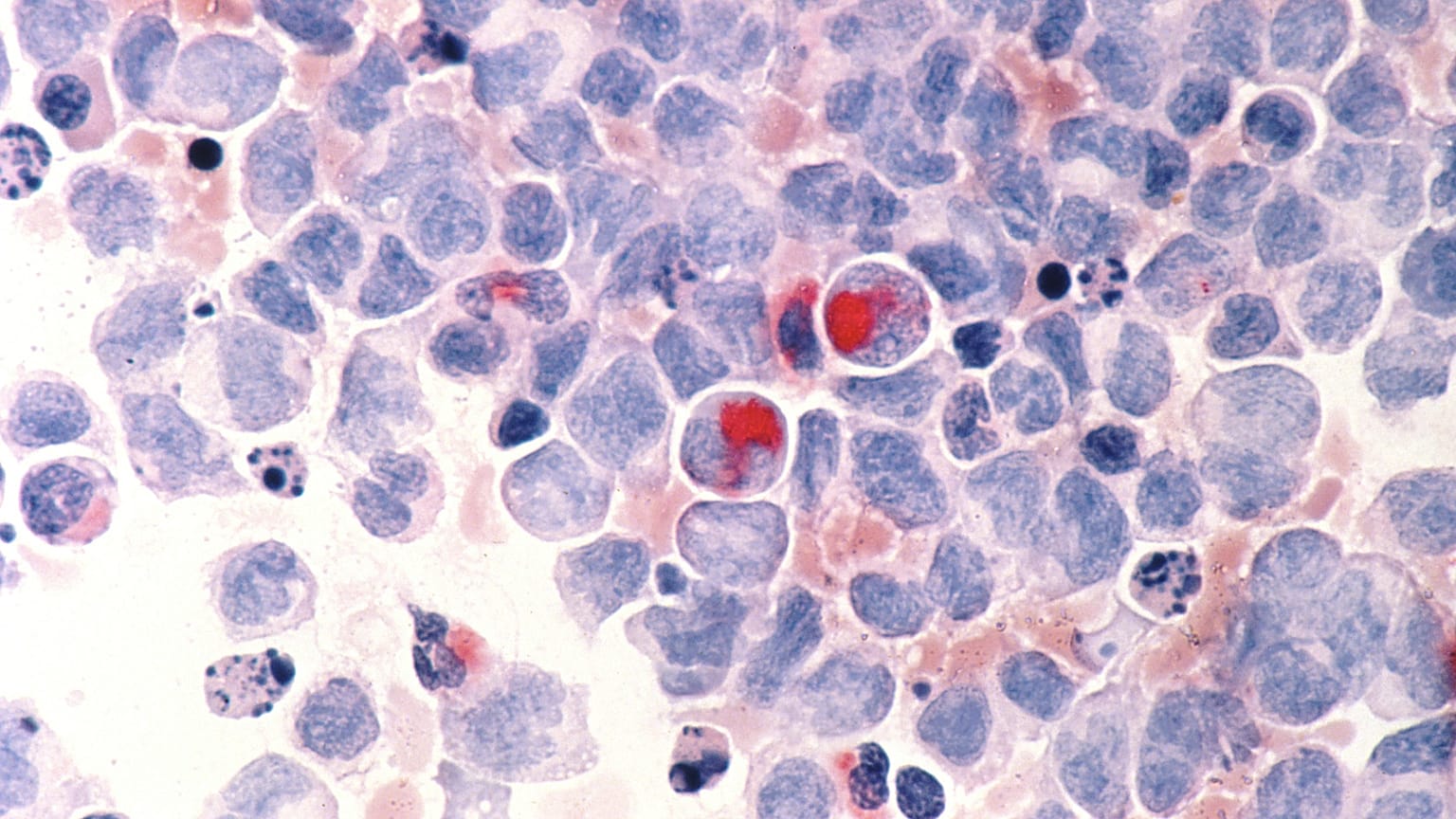
تُظهر هذه الصورة المجهرية التي التقطت في مارس 1988 وقدّمها المعهد الوطني للسرطان خلايا بشرية مصابة بسرطان الدم النخاعي الحاد
تُظهر هذه الصورة المجهرية التي التقطت في مارس 1988 وقدّمها المعهد الوطني للسرطان خلايا بشرية مصابة بسرطان الدم النخاعي الحاد حقوق النشر  AP Photo
حقوق النشر AP Photo
بقلم: يورونيوز
نشرت في
شارك هذا المقال محادثة
شارك هذا المقال Close Button

باحثون من مركز "يو تي ساوث ويسترن" الأمريكي يكشفون أن اختراق الأورام لجدران الأوعية الدموية، وليس انتشارها في الجسم، هو ما يؤدي إلى تجلطات قاتلة وفشل في الأعضاء.

اعلان

كشف باحثون من مركز "يو تي ساوث ويسترن" الطبي في الولايات المتحدة عن أن السبب الرئيسي لوفاة مرضى السرطان قد لا يكون الانتشار (الميتاستاز) كما اعتُقد طويلاً، بل تغلغل الأورام داخل الأوعية الدموية الكبرى، مما يؤدي إلى تجلطات دموية وفشل متعدد في الأعضاء.

ونُشرت الدراسة في مجلة Nature Medicine، وتكشف أن اختراق الأورام لجدران الأوعية الدموية يمكن أن يكون السبب المباشر في توقف وظائف الجسم الحيوية.

ويقول الدكتور ماتيو ليغوريو، أستاذ الجراحة وعضو مركز "هارولد سيمونز" إن الهدف كان الإجابة عن سؤال محيّر: "ما الذي يقتل مرضى السرطان فعليًا؟ ولماذا يموتون في يوم محدد وليس قبل ذلك بأشهر؟"

وأوضح ليغوريو أن نحو 600 ألف شخص يموتون سنويًا في الولايات المتحدة بسبب السرطان، لكن السبب البيولوجي المباشر للوفاة ظل غامضًا. فبينما كان الاعتقاد السائد أن انتشار الأورام في الجسم هو ما يؤدي إلى الموت، إلا أن العديد من المرضى يعيشون سنوات طويلة رغم وجود الانتشار.

وللتحقق من ذلك، أجرى الباحثون دراسة على أكثر من 100 مريض مصاب بأنواع مختلفة من السرطان (القولون، الرئة، الكبد، المبيض، والبنكرياس) خضعوا لتشريح دقيق بعد الوفاة. كما تمّت متابعة 31 مريضًا في مراحلهم الأخيرة من المرض في وحدات الرعاية التلطيفية، حيث أُخذت منهم عينات دم دورية وراقب الأطباء تدهور حالتهم خطوة بخطوة.

وعند الوفاة، أجرى ليغوريو تشريحًا معدّلًا يحافظ على سلامة الأوعية الدموية الرئيسية، بخلاف الأساليب التقليدية. وكانت النتيجة أن جميع المرضى تقريبًا أظهروا تسلل الأورام إلى جدران الأوعية الكبرى مثل الوريد البابي والوريد الأجوف السفلي والشريان الأبهر، مما تسبب في انسداد الدورة الدموية وتجلطات قاتلة.

وأظهرت الفحوص الدموية التي أُجريت قبل الوفاة مباشرة ارتفاعًا حادًا في عدد الخلايا السرطانية في مجرى الدم، ما يقوي فرضية أن التفاعل بين الأورام والأوعية الدموية يلعب دورا مهما في اللحظات الأخيرة من حياة المرضى.

ولتأكيد النتائج، تم تحليل بيانات 1,250 مريض سرطان في ألمانيا بالتعاون مع جامعات لوبيك وماينز، وتبيّن أن أغلبهم أظهروا أنماطًا مماثلة من تسلل الأورام إلى الأوعية الدموية.

وتقول الدكتورة نيوكومر: "إذا تأكدت هذه النتائج من خلال التجارب السريرية، فقد يغيّر هذا المفهوم جذريًا طريقة التعامل مع السرطان، إذ قد يصبح استهداف تسلل الأورام إلى الأوعية الدموية جزءًا من بروتوكولات العلاج الأساسية، إلى جانب الجراحة والعلاج الإشعاعي والكيميائي".

انتقل إلى اختصارات الوصول
شارك هذا المقال محادثة

مواضيع إضافية

في موعد طال انتظاره.. المتحف المصري الكبير يستعدّ لفتح أبوابه أمام العالم

دعوة لفتح جميع المعابر لإغراق غزة بالمساعدات... برنامج الأغذية العالمي: مكافحة المجاعة ستتطلب وقتًا

أيرلندا: القضاء يلزم الشرطة بإعادة النظر في أنشطة Airbnb داخل المستوطنات في الضفة الغربية